Encounter Bay Dental & Implants takes pride in the treatment we provide our patients, and we are happy to share some of our patient’s treatment journeys.
these can be useful to demonstrate the types of health outcomes that a particular patient was able to achieve with the help of our highly qualified and passionate dental professionals.
Composite & Ceramic Restorations

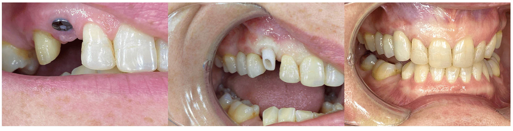
Single Unit Dental Implant


Full Arch Dental Implants

Full Arch Dental Implants

Invisalign

 
			
					





